審美歯科
24時間WEB予約実施中
歯が欠けた・詰め物が取れた方はこちらからご予約ください
2回目以降のご来院の方は、下記ボタンよりご予約ください。
白い美しい詰め物・
被せ物(差し歯)を
提供する審美治療
このような悩みをお持ちの方に
お勧めです
- 銀歯やプラスチックの歯が気になる
- 自然で美しい白い歯を手に入れたい
- すきっ歯や出っ歯が気になる
- 歯の色・形・歯並びをキレイにしたい
- 虫歯になりにくい被せ物(差し歯)にしたい
- 長持ちする上質なセラミックの歯にしたい
- 金属アレルギーが心配
など
自然な見た目、快適な機能性にもこだわる審美治療
上記のようなお悩みやご要望がありましたら、一度当院へお問い合わせください。
当院の審美治療では、美しい見た目の回復はもちろん、噛み合わせの改善や虫歯の再発防止など歯本来の機能回復にも重点を置いた治療を提供しています。
虫歯治療で削った部位の修復だけでなく、前歯の「すきっ歯」や「軽度の歯並びの乱れ」を整えるといった治療法にも対応しています。お口元の見た目についてのお悩みやコンプレックスの解消も、どうぞお気軽に当院へご相談ください。
安心の保証制度
当院では審美セラミック治療において『3年間の全額保証』をお約束しております。治療後も責任を持ってサポートし、上質なセラミック治療を安心して受けていただけます。
※定期的なチェックが必要なため、半年に1回以上定期検診に通っていただく方がこちらの保証対象となります。
プライバシーにも配慮した
個室の診療室
プライバシーや感染症対策にも十分な配慮をし、当院の診療室はすべて個室となっております。周囲の視線や会話も気にすることなく、安心してご相談いただけます。費用や期間などお見積もりを行い、ご自宅でじっくりと検討していただくことも可能ですので、お気軽にお問い合わせ頂きたいと思います。
審美治療メニュー
インレー(詰め物)の種類・特徴
ハイブリッドセラミックインレー
セラミックとレジン(歯科用特殊樹脂)が配合された素材でできた白い詰め物です。レジンが混ざっていることによってしなりのあるセラミックになり、比較的割れにくくなります。デメリットとしては変色する可能性があることと、歯ぎしりなどで咬耗(消耗)が早いことです。
オールセラミック(e-max)インレー
機能性と審美性を兼ね備えたセラミック素材の白い詰め物です。ジルコニアと比べると強度は劣りますが、歯のエナメル質と同等の強度を持ち、インレーのような部分的な詰め物では第一選択となります。メタルフリー素材のため金属アレルギーの方も安心してご使用いただけます。
ジルコニアセラミックインレー
人工ダイヤモンドとも呼ばれるジルコニアの優れた強度・耐久性を活かした白い詰め物です。変色せず汚れもつきにくいため衛生面にも優れ、再治療のリスクも低減できる長持ちしやすい素材です。歯ぎしりの方や噛み合わせの強い方、また金属アレルギーの方にも安心してお使いいただけます。
ゴールドインレー
ゴールドインレーは、保険治療で使われている金属よりも柔軟性があり適合が良いため、虫歯になりづらい素材とされています。見た目の目立ちやすさがあるため、主に奥歯の詰め物として使用となります。安心の長期臨床成績を示します。
クラウン(被せ物・差し歯)の
種類・特徴
ハイブリッドセラミッククラウン
セラミックとレジンが配合された素材でできた白い被せ物です。レジンが混ざっていることによってしなりのあるセラミックになり、比較的割れにくくなります。デメリットとしては変色する可能性があることと、歯ぎしりなどで咬耗(消耗)が早いことです。
オールセラミック(e-max)クラウン
歯科用セラミック(陶材)を用いて作られた、金属を一切使用しないメタルフリー素材の白い被せ物です。歯に近い硬さのためジルコニアと比較すると強度はやや劣りますが、色調豊かな優れた審美性が特徴です。
フルジルコニアクラウン
人工ダイヤモンドとも呼ばれるジルコニアの強度を活かし、固いものを噛んでも被せ物が壊れにくい優れた耐久性が特徴です。より透明感の強いものや、より自然な色味を持つものなど、適用箇所やご希望に合わせて再現することが可能です。
ジルコニアボンドクラウン
外側に歯科用セラミック(陶材)を築盛し、内側のフレームにジルコニアを使用して作られた最高品質の被せ物です。見た目も耐久性もこだわりたいという方にお勧めです。色味・透明感ともに非常に優れ、天然歯と見間違うような修復物を製作することができます。
メタルボンドクラウン
金属のフレームの上に歯科用セラミック(陶材)を築盛した被せ物です。耐久性と適合性に優れていますが、長年使用すると歯茎と被せ物の境目に金属が見える場合があります。
ゴールドクラウン
金合金や白金加金など安定した貴金属を用いた被せ物です。目立ちやすさはありますが、しなやかなで歯との相性が良く、歯科修復材としての臨床実績は高く評価されています。奥歯(臼歯)など目立たないところにお勧めしています。
ダイレクトボンディング
コンポジットレジン(CR)という特殊な合成樹脂(プラスチック)を用いて、お口の中で歯の形に盛り付けながら歯を修復していく治療法です。治療費も比較的低く抑えることができ、強度・審美性ともに自然な仕上がりにすることが可能です。
他の審美治療法と比べると来院回数も少なくて済み、またメタルフリー素材ですので金属アレルギーの心配もいりません。※治療適応範囲には制限があります。
ラミネートべニア
ラミネートベニアとは、歯の表面を薄く削って薄いセラミックを貼り付けることで、前歯の色・大きさ・バランスを美しく整えることができる治療法です。歯に与えるダメージを抑えつつ、自然な仕上がりにすることができます。また、歯を漂白することで白くするホワイトニングと比べ、治療後の変色や着色もほとんどないのも特徴です。
審美治療の症例
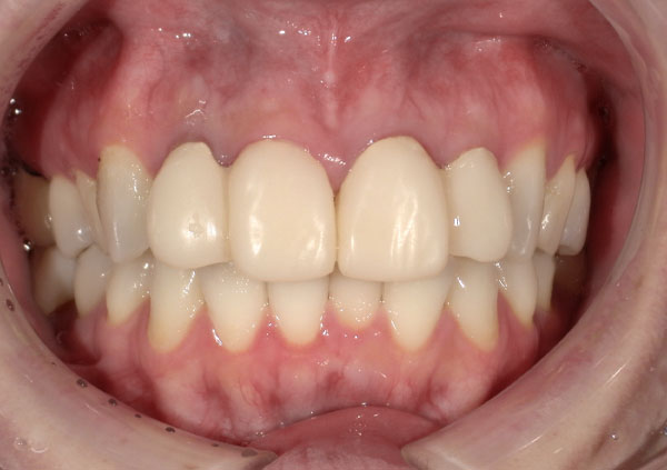
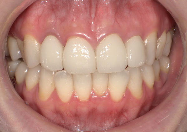
-
主訴 審美的に治したいと虫歯を治したい 治療箇所 前歯(6本) 期間 1ヶ月 費用 ¥154,000×6歯=¥924,000 治療内容 クラウン
Case.01
治療前

治療後

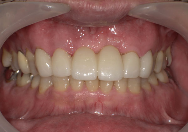
| 主訴 | 見た目と虫歯を治したい |
|---|---|
| 治療箇所 | 前歯(中央の4本) |
| 期間 | 1ヶ月 |
| 費用 | ¥154,000×4歯分=¥616,000 |
| 治療内容 | 前歯部クラウン |
Case.02



| 主訴 | 見た目と虫歯を治したい |
|---|---|
| 治療箇所 | 前歯(前から2番目の歯) |
| 期間 | 1ヶ月 |
| 費用 | ¥154,000 |
| 治療内容 | クラウン |
Case.03
Case.04


| 主訴 | 歯がないところを審美的に治したく、 できるだけ削りたくない |
|---|---|
| 期間 | 1ヶ月 |
| 治療内容 | 接着性Br |
